Главная
/
Эндодонтия
Эндодонтия в Стоматологии ПоллиДента
Цена:
2000-14990
руб.
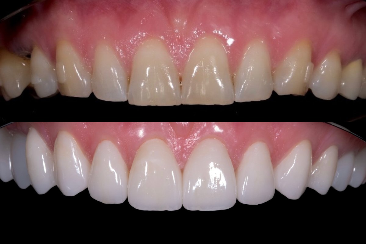
Эндодонтия - это один из разделов стоматологии, который специализируется на лечении корневых каналов и тканей, окружающих корень зуба (периодонт). Она заключается в том, чтобы спасти зубы, пульпа которых была поражена. Терапия охватывает меры, ориентированные на выявление, прекращение воспалительного процесса, чистку и пломбирование корневых каналов. Особенно распространенные обстоятельства, при которых требуется обратиться к подобной терапии: перелечивание, пульпит и травмы, а еще период перед проведением реставрации или установкой коронки.
Цены на услугу
-
Ортодонтия
-
Активация, коррекция, динамическое наблюдение съемной ортодонтической аппаратуры
2000 руб.
-
Активация, коррекция, динамическое наблюдение за частичной эстетической брекет-системой (1 посещение)
5000 руб.
-
Снятие одного эстетического брекета и чистка зуба (для пациентов сторонних клиник)
2490 руб.
-
Наблюдение и активация ортодонтического мини винта
14 990 руб.
-
Установка ортодонтического мини-винта (с учетом стоимости винта, установки и извлечения)
14 990 руб.
-
Фрезерованная коронка под элайнеры
7990 руб.
-
Активация, коррекция, динамическое наблюдение съемной ортодонтической аппаратуры
Акции и скидки
Комплекс профессиональной гигиены 8990 вместо 13 990
Срок действия
Осталось 20 дней, до 31 марта
Специальные цены на комплекс отбеливание + гигиена
Срок действия
Осталось 20 дней, до 31 марта
Лечение с беспроцентной рассрочкой в "ПоллиДента"
Срок действия
Осталось 15 дней, до 26 марта
Налоговый вычет
Срок действия
Осталось 5 дней, до 16 марта
Гнатологическая диагностика + сплинт-терапия всего за 70000
Срок действия
Осталось 20 дней, до 31 марта
Гарантии
Срок действия
Остался 81 день, до 31 мая
Керамические виниры E-max всего 37 990 ₽
Срок действия
Постоянная акция
Установка имплантата Neobiotech, Dentium всего 34 990 ₽
Срок действия
Постоянная акция
Фотогалерея
Отзывы
5,0
Людмила
Преимущества: Отлично выполненная процедура
Атмосфера в клинике
Стоимость
Недостатки: Нет
Комментарий:
Хочу поделиться впечатлением после посещения процедуры отбеливания зубов.
Долго не решалась, зная, что у меня чувствительная эмаль. Но очень хотелось. Сделала у Полины Владиславны, все прекрасно! Доктор бережно и аккуратно подготовила зубы к процедуре, я не испытывала дискомфорт, не было боли и прочих неприятностей. В общем, если бы я знала, что все будет именно так, то я бы отбелила зубы гораздо раньше! Результатом очень довольна, зубы белые. Хожу улыбаюсь) Спасибо!
5 марта 2026 Отзыв взят с сайта Zoon.ru
5,0
Чеснокова Роза
Комментарий:
Пост бесконечной благодарности и любви коллективу ПоллиДента!Не могу выразить словами то, как я счастлива, что попала в руки самых лучших врачей.Сколько заботы, внимания и любви я получила за этот год.Через сколько боли, мучений и радостных моментов мы прошли за это время. Если у Вас проблемы с зубами, не ждите, пока они начнут выпадать лет через 15, лучше принять меры сейчас и улыбаться на все 32, ну почти на 32 :) Советую без малейшего сомнения клинику ПоллиДента.Спасибо Вам за ваш труд!!!
3 января 2026 Отзыв взят с сайта Zoon.ru
5,0
Елена
Думаю, что все согласны с тем как важен выбор врача -стоматолога, любого врача , безусловно, но стоматолога особенно, так как со стоматологией мы знакомимся с детства и продолжаем это знакомство до глубокой старости…: Поэтому я так счастлива , что у нашей семьи есть теперь семейный врач-стоматолог Клёмина Полина Владиславна - профессионал , обаятельнейший человек, чуткая, заботливая и внимательная!!!!! Мне порекомендовала обратиться к ней моя близкая подруга. Реальность превзошла все мои ожидания! Прекрасная клиника, оснащённая современным оборудованием, великолепные высококвалифицированные врачи, душевная атмосфера, всё располагает к комфортному лечению, а самое главное доверие, что здесь тебе действительно помогут, подберут правильное лечение, а не разведут на « бабки»( возможно, мне так не везло, но по итогу такого «лечения» пломбы долго не держались, зубы разрушались, потом удалялись . Дочери в подобной «ВИП « клинике вообще з»забыли» кусочек ваты и зуб разболелся….:((( )
Теперь я щеголяю великолепной улыбкой, с красивыми белоснежными зубами ( конечно коронки, но какие не отличить от натуральных зубов!))
Муж и дочь тоже приезжают сюда лечиться, хотя для нас это далековато, тратим на дорогу 1,5 часа.
Благодарю от всей души и чудесного врача ортопеда Волынскую Марию Игоревну, великолепного мастера Александра, сделающего чудесные коронки, который учёл все мои пожелания! Хирургов ставивших импланты . Весь персонал и администраторов!
Благодарю !!!!!!))))))
Ну и безусловно, рекомендую клинику «ПоллиДента» !!!!!!!!
2 октября 2025 Отзыв взят с сайта Zoon.ru
5,0
Вальтер .
Преимущества: Прекрасная клиника и вежливая атмосфера. Очень внимательное отношение докторов, ассистентов, администраторов. Особая благодарность ортодонту Саргсян Кристине Вардановне и Клеминой Полине Владиславовне, Профессионалы с большой буквы. Спасибо за красивые зубки у моего ребенка! 🌺
13 сентября 2025 Отзыв взят с сайта Zoon.ru
5,0
Алиса
Все было комфортно, удобно. Доктор предупреждала о всех манипуляциях, спрашивала, есть ли дискомфорт, давала время отдохнуть. Понравилось, что используют резиночку, которая губы не повреждает, мне делали чистку зубов.
11 сентября 2025 Отзыв взят с сайта Zoon.ru
5,0
Asya Moris
Замечательная стоматология! Очень внимательный и вежливый персонал, помогли со всем разобраться, проводили, все очень комфортно, (пришла чуть раньше) зона ожидания уютная😊
Врачи Полина Владиславовна и Мария Игоревна просто зубные феи, очень рекомендую. Все тактично, аккуратно. Немного нервничала, что будет больно, но все прошло просто прекрасно. Клиника просто 10 из 10, нашла своих врачей наконец-то 🔥🔥🔥
2 сентября 2025 Отзыв взят с сайта Zoon.ru
5,0
Марина
Прекрасная клиника, сын ходит только сюда, к другим стоматологам наотрез отказывается ходить, несмотря на то, что приходится тратить на дорогу сюда почти час. Огромная благодарность Полине Владиславовне за ее чуткость, профессионализм и всегда хорошее настроение)
26 августа 2025 Отзыв взят с сайта Zoon.ru
5,0
Екатерина
Отличная клиника, где работают одни профессионалы! Всем советую. Удобное расположение, вежливый персонал, хожу только сюда.
22 августа 2025 Отзыв взят с сайта Zoon.ru
5,0
Валерия
Преимущества: Отличная стоматология, работают хорошие специалисты! Все процедуры проходят абсолютно безболезненно и качественно, что очень важно! Всегда приятная атмосфера и вежливый персонал)
Недостатки: Нет)
15 августа 2025 Отзыв взят с сайта Zoon.ru
5,0
Юра Савченко
Преимущества: Удаление зуба мудрости - это всегда стресс, особенно когда вспоминаешь страшные истории от знакомых. Но Ислам Ахматович сделал всё возможное, чтобы этот опыт был максимально комфортным и безболезненным.
Удаление у Ислама Ахматовича прошло гораздо лучше, чем я ожидал. Минимум боли, максимум внимания и профессионализма. Если вам нужно удалить зуб мудрости, я однозначно рекомендую обратиться к Исламу Ахматовичу. Это специалист, которому можно доверять! Оценка - твёрдая 5!
2 августа 2025 Отзыв взят с сайта Zoon.ru
5,0
NADEZHDA
Преимущества: Прекрасная стоматология где работают врачи-профессионалы, заранее объясняют все этапы лечения, всегда приятная обстановка, очень вежливый администратор!) Теперь перестала бояться лечить зубы!
Недостатки: Нет)
26 июля 2025 Отзыв взят с сайта Zoon.ru
5,0
София Сагманова
Преимущества: Рекомендую стоматологию Поллидента! Работают отличные специалисты, любят свое дело, всегда приветливы и отзывчивы! Любая процедура проходит абсолютно безболезненно и качественно!
26 июля 2025 Отзыв взят с сайта Zoon.ru
5,0
Диана Червякова
Преимущества: Я посетил клинику на прошлой неделе для прохождения комплексного обследования. Хочу отметить высокий уровень профессионализма врачей и всего персонала.
Все круто, спасибо!
Недостатки: Нет
26 июля 2025 Отзыв взят с сайта Zoon.ru
5,0
Алёна Тюленева
Преимущества: Отличная стоматология, вежливый, аккуратный и внимательный персонал! Очень качественное и безболезненное лечение!
26 июля 2025 Отзыв взят с сайта Zoon.ru
5,0
Ханум
Прекрасная клиника, в которой работают замечательные стоматологи. Клиентоориентированность, приятный интерьер, вежливый персонал, квалифицированные врачи и хорошее качество лечения. Обращалась в клинику по причине лечения кариеса . Огромное спасибо Карине Ринатовне, прекрасный и внимательный врач , все осматривает , оценивает и приступает к работе, очень аккуратно работает, безболезненно проходит ее приемы .
Продолжаю лечение у Карины Ринатовны. Рекомендую как профессионала своего дела и высококвалифицированного специалиста.🤍
16 июля 2025 Отзыв взят с сайта Zoon.ru
5,0
Наталья
Преимущества: Профессионализм, качественное исправление последствий предыдущего негативного опыта лечения и имплантации, внимательное и заботливое отношение всех специалистов - врачей, ассистентов, администраторов, выполнение манипуляций максимально бережное и комфортное для пациента.
Недостатки: Нет
Комментарий:
Глубокая искренняя благодарность всем специалистам!
11 июля 2025 Отзыв взят с сайта Zoon.ru
5,0
Марина
Замечательное место! Пришла в эту клинику по рекомендации, и очень довольна. Теперь лечу свои зубы только здесь)
Сотрудники вежливые, приветливые. Однозначно советую!
30 июня 2025 Отзыв взят с сайта Zoon.ru
5,0
Полина Аверичева
Мне очень нравится клиника. Грамотные врачи, комфортная атмосфера. Помогли мне вылечить несколько зубов и поставили имплант. Лечением осталась довольна
29 марта 2025 Отзыв взят с сайта Zoon.ru
5,0
Олеся
Любимейшая клиника. Хожу сама и с удовольствием отдаю в руки профессионалов своих детей. Сыну ставили пластинку, т. к. коренной зуб вырос вторым рядом, вырывали молочные зубы. Всё очень деликатно, с такой теплотой к детской психике. Я обращалась с кариесом по всем зубам. Нежно обезболивают, аккуратно лечат. Пару раз я проваливалась в сон во время лечения. :) Настолько уже доверие к доктору. Пока мама на стоматологическом кресле, деткам включают мультики и приглядывают за ними. Чудесное, понимающее отношение. Терапевт, ортодонт, гигиенист. Врачи на высшем уровне. Всегда уютная, тёплая обстановка. Качественный, детальный подход, эстетика. Полина Владиславовна - невероятный человек и специалист. Спасибо за такое отношение к клиентам и своему делу. ❤️
5 февраля 2025 Отзыв взят с сайта Zoon.ru
5,0
Seda Akopyan
Очень понравилось в клинике, прекрасные специалисты, успокоят, расскажут все тонкости и детали.
Лечусь у Карины Ринатовны, очень чуткий доктор, очень рада, что к ней попала!
28 января 2025 Отзыв взят с сайта Zoon.ru
5,0
Юрий Полищук
Благодаря этой клинике моя 6-летняя дочь перестала бояться стоматологов. Клиника уютная и чистая. Дочка Спокойно идет и на пломбы, и на удаление) Очень внимательные, чуткие, доброжелательные и высококвалифицированные специалисты. Были у Полины Владиславовны и Ислама Ахматовича. Наблюдаемся теперь только тут)
20 января 2025 Отзыв взят с сайта Zoon.ru
5,0
Светлана
Очень хорошая клиника. Прохожу здесь лечение, на которое боялась решиться несколько лет, включающее сложные удаления, синуслифтинги, имплантацию. Сейчас почти все позади, основное лечение закончено, врачи в ПоллиДента все сделали отлично. Спасибо моим докторам Полине Владиславне, Алексею Вячеславовичу, Марии Игоревне. Особо хочу отметить очень внимательное и доброжелательное отношение к пациентам со стороны докторов и всего персонала клиники
17 января 2025 Отзыв взят с сайта Zoon.ru
5,0
Светлана Костюченкова
Ставила имплант у Марии Игоревны и хожу на проф. осмотры, чуткий и внимательный врач).
8 октября 2024 Отзыв взят с сайта Zoon.ru
5,0
Катерина Иванова
Преимущества: Отличная и уютная клиника. Прекрасные врачи. Очень хорошо сделали чистку зубов.
18 мая 2024 Отзыв взят с сайта Zoon.ru
5,0
Александр Карпоченко
Преимущества: Опытные врачи, комфорт во время лечения, отношение к пациентам.
Недостатки: Отсутствуют.
Комментарий:
Делал отбеливание. Результат реально «Вау». Давно мечтал отбелить свои крысиные клыки, не подвели. Отдельное спасибо Кристине Игоревне, все объяснила предупредила про прострелы, во время процедуры их не было, только пару раз после.
Сама клиника небольшая но очень милая и уютная, Полина Владиславна - главный врач, золото, очень милая девушка, внимательная и приветливая, перед отбеливанием посмотрела мой рот, сказала какой зуб лечить и главное, что у меня прекрасные зубы, надеюсь правда😅
Короче, если где и лечиться, то только тут!
12 апреля 2024 Отзыв взят с сайта Zoon.ru
5,0
Илья Павлов
Лечусь и наблюдаюсь у Карины Ринатовны уже много лет и за свои зубы могу быть спокойным ) Периодически хожу на осмотры и чистку , всегда по делу, аккуратно и ничего лишнего.
21 марта 2024 Отзыв взят с сайта Zoon.ru
5,0
Анна
Очень довольна работой врача Краины Ринатовны! Максимально заботливый, бережный, внимательный доктор! Чистка выполнена качественно, быстро. Доктор дал рекомендации по уходу! Я в полном восторге! Сходила, как на праздник🥰
19 марта 2024 Отзыв взят с сайта Zoon.ru
5,0
Анонимный пользователь
Хочу выразить благодарность Администратору Светлане, оперативно помогла с решением моей проблемы, качественно проконсультировала меня по всем вопросам, встретила с улыбкой и пониманием отнеслась с моей проблеме.
В общем огромное спасибо! Она грамотный специалист в своей работе.
15 марта 2024 Отзыв взят с сайта Zoon.ru
5,0
Анастасия Фролкина
Преимущества: В Поллиденту пришла с дочкой, вылечили 6 зубов и дочка регулярно спрашивает "когда снова пойдём?"- понравилось. Поэтому я тоже пошла к ним лечить зубы. Во время лечения постоянно ощущала заботу о себе. Было понятно что и зачем делают врачи. Спасибо Полине Владиславовне, Марии Игоревне, Алексею Вячеславовичу за профессионализм и приветливость. С вами спокойно.
Недостатки: Все хорошо.
Комментарий:
Приветливый менеджер Светлана всегда улучшает настроение) очень приятно получать напоминания о записи!
15 февраля 2024 Отзыв взят с сайта Zoon.ru
5,0
Ольга
Преимущества: Отличная клиника.
Последние несколько лет боялась лечить зубы, т.к. было несколько негативных попыток посещения стоматологов.
В Полиденте все по высшему классу начиная с администратора Светланы. Очень внимательная, чуткая, всегда помогает решить любые проблемы.
Полина Владиславовна, Карина Ринатовна, Алексей Владиславович и их ассистенты, особо хочется отметить ассистеннта Аню, профессионалы высшего класса! Лечила и удаляла зубы с комфортом и удовольствием
Недостатки: Нет
Комментарий:
Однозначно рекомендую
10 февраля 2024 Отзыв взят с сайта Zoon.ru
5,0
Роман
Пришел лечить кариес и с самого начала я почувствовал, что оказался в заботливых руках профессионала. Полина Владиславна проявила деликатность и понимание, помогла мне почувствовать себя комфортно даже в приемной. Она сразу же проявила свой профессионализм, задавая точные вопросы, чтобы понять мои нужды и желания. Сама процедура прошла гладко и безболезненно. Она подробно объяснила мне каждый шаг, вызывая уверенность и понимание происходящего. Кроме того, она была очень внимательна к моим ощущениям во время лечения, что важно для установления доверительной связи между стоматологом и пациентом. Ответила на все мои вопросы и дала мне рекомендации по уходу за полостью рта после лечения. Я остался очень доволен результатом и чувствую, что мои зубы находятся в надежных руках.
2 февраля 2024 Отзыв взят с сайта Zoon.ru
5,0
Александр Карпоченко
Прекрасный терапевт!
Хочу отметить чуткость и профессионализм, с которыми Полина Владиславовна подходит к приему: во время приема всё объяснили, на все вопросы ответили. Во время приема чувствуется опыт, что приводит к абсолютному комфорту и спокойствию на приеме.
Также дополнительно хочется отметить клинику: она небольшая но очень уютная, есть камин, но он не работал.
Из пожеланий: почаще включать камин))
2 февраля 2024 Отзыв взят с сайта Zoon.ru
5,0
Александр Карпоченко
Преимущества: Хотелось бы отметить терапевта Карину Ринатовну. Очень добрая и чуткая, прием прошел с комфортом, как дома. Врач был внимательным, отвечал на все вопросы так, что чувствовалось желание помочь.
Сама стоматология небольшая, но очень уютная. Спасибо большое, рекомендую.
Недостатки: Недостатков не увидел.
2 февраля 2024 Отзыв взят с сайта Zoon.ru
5,0
Илона
Преимущества: Отличная клиника! Пришла на первичный прием, составили план лечения. Прошли половину пути, все очень нравится. Всегда очень боялась стоматологов, однако все страхи быстро улетучились, за это большое спасибо врачам. Рекомендую!)
23 сентября 2023 Отзыв взят с сайта Zoon.ru
5,0
Индира
Преимущества: 10 лет мучалвсь и ходила "по рукам" разных клиник, в итоге сплошные расстройства. Появился храп, из-за неправильного прикуса, головные боли, хруст в суставах. Пришла с багажом разочарований в клинику Полидента. Работали со мной больше года, и работа была очень сложная, но в итоге я ушла довольная. Прикус исправили, исчез храп и головные боли . Очень рекомендую всем кто пострадал от псевдостоматологов. А лучше сразу сюда. Отдельное спасибо, Клеминой Полине Владиславовне, Волынской Марии Игоревна и Левченко Алексею Вячеславовичу.
Комментарий:
Чистая и уютная клиника. Всегда предложат чай ,кофе, водичку.
11 сентября 2023 Отзыв взят с сайта Zoon.ru
5,0
Любовь
Персонал очень внимательный и профессиональный, мне все понравилось. Я несколько раз приходила на консультацию, и доктор никуда не спешил, я чувствовала себя комфортно, в кабинете была чистота, никаких изъянов я не заметила.
31 июля 2023 Отзыв взят с сайта Zoon.ru
5,0
Эдуард
Преимущества: Прекрасная и отзывчивая команда
Четкий план лечения и шикарный результат
Нежная проф гигиена☺️
Недостатки: Их просто нет
1 июля 2023 Отзыв взят с сайта Zoon.ru
5,0
Олеся
Все было комфортно, доктор очень внимательно занималась зубом с четырьмя каналами, все-все перепроверяла, пока не поняла, что все точно, все хорошо сделано, все прочищено и запломбировано. Она сказала, что всегда на связи, что нужно выпить болеутоляющее, если зуб будет болеть в течение суток.
20 июня 2023 Отзыв взят с сайта Zoon.ru
5,0
Алиса
Все было комфортно, удобно. Доктор предупреждала о всех манипуляциях, спрашивала, есть ли дискомфорт, давала время отдохнуть. Понравилось, что используют резиночку, которая губы не повреждает, мне делали чистку зубов.
11 июня 2023 Отзыв взят с сайта Zoon.ru
5,0
Матвей Касин
Преимущества: Приятно удивил сервис, чистота, уютно, мне помогла с моими проблемами Полина Владиславовна. С первых минут понимаешь что это специалист высокого уровня. Спасибо большое! Какая бы клиника не была, мы ходим туда из-за врачей. Рекомендую безусловно, пришел по рекомендации и убедился, что можно довериться этому человеку.
Недостатки: Нету
28 мая 2023 Отзыв взят с сайта Zoon.ru
5,0
Любовь
Мне нравится врач Полина Владиславовна, она приветливая, всё профессионально выполняет, никогда никаких доделок и переделок не было, мне комфортно. При последнем визите стоматолог проводила замену старых пломб на новые, я всем довольна! Также в клинику часто приходит муж, и с ребёнком бываем.
23 мая 2023 Отзыв взят с сайта Zoon.ru
5,0
Александр Фролов
Преимущества: Самая лучшая клиника в которой я вместе с супругой лечили и протезировали зубы. Во-первых весь коллектив с Большой буквы: отзывчивый, приятный, позитивный и внимательный. Все специалисты- лучшие профессионалы своего дела. Только благодаря золотым рукам Полины Владиславовны, Марии Игоревны, Алексея Вячеславовича и милым девочкам помощницам, заботливым феям, мы с супругой любуемся своей красивой улыбкой и больше не страдаем от зубной боли. Их работа налажена настолько грамотно, что никаких проблем с приемом и записью не возникало.
Недостатки: Недостатков не увидел вообще. Везде идеальная чистота, современное оборудование, прекрасная зона отдыха и вежливый персонал.
Комментарий:
Благодаря проделанной огромнейшей работы наилучшими специалистами этой клиники, моя семья и впредь будет обращаться только сюда. Спасибо огромное за Ваш нелегкий труд, профессионально оказанные нам услуги, уважение и комфорт, которые Вы создавали в течение целого года. Мы счастливы, что выбрали именно Вас Полли-Дента!!!!!!!!!
15 мая 2023 Отзыв взят с сайта Zoon.ru
5,0
Юрий
Преимущества: Потрясающий уровень.
Отличный настрой.
Любимый персонал.
Лучшее оборудование.
Индивидуальный подход.
Добросовестное отношение.
Единомыслящий коллектив.
Надёжные руки.
Талантливые люди.
Атмосфера уюта и тепла.
Недостатки: Недостатки отсутствуют.
Комментарий:
Постоянный клиент с 2021-года.
Обращался по поводу лечения кариеса и пульпита, имплантации разрушенного зуба, удаления зуба мудрости, профессиональной гигиены полости рта и отбеливания зубов.
25 апреля 2023 Отзыв взят с сайта Zoon.ru
5,0
Татьяна
Преимущества: Качество
Комментарий:
Полина Владиславовна супер-врач! Делает всё аккуратно, внимательно, четко. Бережно относиться к своим пациентам. Только с ней я узнала о том, что есть специальная анастезия без адреналина ( для беременных, кормящих, аллергиков и др.). Делает качественно и надёжно, обо всём предупреждает. Мне ехать далеко, но я знаю зачем я еду! Спасибо огромное!
20 апреля 2023 Отзыв взят с сайта Zoon.ru
5,0
Вероника
Преимущества: Устанавливала имплантат у доктора Алексея Вячеславовича год назад, удалили зуб и сразу поставили имплант. Все прошло быстро и безболезненно. Заявление прошло комфортно. 8 месяцев хожу с постоянной коронкой ( спасибо Марии Игоревне и Полине Владиславовне). Сегодня была на проф осмотре и чистке зубов, очень приятно что внимательно все осмотрели и сделали бесплатно снимок, чтобы удостовериться что с имплантом все хорошо. С уверенностью могу рекомендовать эту клинику и ее специалистов. Хочу отметить уютную обстановку в клинике
15 марта 2023 Отзыв взят с сайта Zoon.ru
5,0
Настя Бородай
Преимущества: Внимательный персонал! Качественное обслуживание! Полина Владиславна профессионал своего дела!
Недостатки: Нет!
Комментарий:
Отличная атмосфера в коллективе, к посетителям всегда вежливое отношение! Перенос записи всегда без проблем! Качество анестезии отличное! Спасибо Полине Владиславне за профессионализм и поддержку!
9 марта 2023 Отзыв взят с сайта Zoon.ru
5,0
Юлия Андреева
Преимущества: Чисто, очень уютно , приветливый персонал, вменяемые цены 👍
Недостатки: Не обнаружила!
Комментарий:
Случайно попала в стоматологию ПоллиДента, чему безмерно рада.
Была в гостях на соседней улице , ужасно разболелась десна , позвонила в клинику, приняли через 1 час , замечательная девушка, специалист своего дела Кристина Тимофеева 😍 сделала превосходную чистку , дала кучу полезных советов и лайфхаков, спасибо ей огромное. Обязательно вернусь.
28 февраля 2023 Отзыв взят с сайта Zoon.ru
5,0
Ольга
Преимущества: Прекрасная клиника ,вежливый персонал !
Лечащий врач Дарья Алексеевна очень понравилась .Такое ощущение,что родилась с инструментом в руках .Лечение было безболезненным .Очень важно ,чтоб между пациентом и врачом установилось доверие и понимание -только в этом залог успеха ! Дарья Алексеевна подробно объяснила мне план лечения на простом и доступном мне языке .
В целом все понравилось .Буду рекомендовать !
Успехов клинике и процветания !
Недостатки: Нет
25 февраля 2023 Отзыв взят с сайта Zoon.ru
5,0
Сабина
Преимущества: Прекрасная клиника, обслуживание на высшем уровне. Очень внимательные врачи и настоящие профессионалы, не страшно доверить свои зубы! Очень рекомендую данную клинику, особенно врача Полину Владиславовну!
Недостатки: Недостатков нет!
11 февраля 2023 Отзыв взят с сайта Zoon.ru
5,0
Виталий
Преимущества: Замечательная клиника. Просто волшебный доктор Полина Владиславна. Сынишка идет к ней на лечение с удовольствием. Спасибо Большое!
7 февраля 2023 Отзыв взят с сайта Zoon.ru
5,0
Татьяна Пушкинская-Краснолуцкая
Преимущества: Очень нравиться это прекрасное место, и всегда сюда приезжаем. Врач Полина всегда поможет. С детьми находит очень хорошо общий язык. И взрослым находит актуальное лечение
Лечу зубы только тут я и семья
Недостатки: Их нет
4 февраля 2023 Отзыв взят с сайта Zoon.ru
5,0
Юлиана
Преимущества: Понравилось всё: профессионализм, забота врачей, атмосфера
Недостатки: -
Комментарий:
Очень рада, что нашла такую замечательную стоматологию. Попала со сложным вопросом и сразу внушил доверие профессионализм Полины Владиславовны, которая подробно рассказала об этапах лечения (в другом месте не знали как меня лечить). Также она борется за каждый зуб, а не спешит его удалить, что очень радует. Каждый приём чувствуешь заботу, и так у каждого врача: ортопеда Марии Игоревны, ортодонта Кристины Вардановны. Хирургу Алексею Левченко большая благодарность - очень быстро, ловко и аккуратно удалил сложный зуб мудрости! И отдельное спасибо доброму администратору Светлане, всегда поднимающей настроение)
2 февраля 2023 Отзыв взят с сайта Zoon.ru
5,0
Ирина Я.
Алексей Вячеславович прекрасный специалист. Я прошла с ним через установку имплантов, удаление сложных зубов, пересадку десны. Время реабилитации максимум 5 дней. Импланты прижились. Четкость, уверенность, профессионализм. Это очень важно, когда в таком деликатном деле, как стоматологическая хирургия, можно довериться без страха и с уверенностью в конечном результате. Спасибо.
13 января 2023 Отзыв взят с сайта Zoon.ru
5,0
Ирина Я.
Преимущества: Прекрасный персонал. Профессионалы своего дела. Мне проделали огромную работу. 9 месяцев и я счастливая обладательница шикарной улыбки. Очень важно для девушек. Это уверенность, красота, молодость. А любовь, забота, глубокие знания, профессиональные консультации и грамотно организованное и подобранное лечение Марии Игоревны, Полины Владиславовны это лучшая опора для меня, как для человека, который больше не боится стоматологов)))))) Здесь прекрасная команда. Начинается с администратора Светланы, ассистентами Кристины и Эмми. Хирургия фантастическая. Импланты прижились. Удаление безболезненное. Клиника моя находка. Люблю Вас ребята))))) И всем рекомендую.
Недостатки: Это тот случай, когда понравилось все. Редкость в наше время.
13 января 2023 Отзыв взят с сайта Zoon.ru
5,0
Ирина Я.
Обожаю эту клинику. Прекрасный состав профессионалов. Мария Игоревна творит чудеса. Огромную работу со мной продела. 8 месяцев и я новый человек с прекрасной улыбкой. Чуткость, внимание и забота во время приема, снижает любой страх и детские опасения перед стоматологами. Здесь идут на встречу. Находят время. Любовь, профессионализм, качество. И как результат - здоровье, прекрасное настроение и красота. Сюда хочется вернуться из-за людей, в первую очередь. Я о других стоматологиях даже не думаю .
13 января 2023 Отзыв взят с сайта Zoon.ru
5,0
Елена
Преимущества: Лучшая стоматология, в которой мне приходилось бывать!
Недостатки: Нет
Комментарий:
Лучшая стоматология, в которой мне приходилось бывать! Приветливый персонал, дружеская, тёплая атмосфера, а в кресле докторов спокойно и надёжно! Полина Владиславна супер профессионал, какого ещё поискать надо (хорошо, что я уже нашла)! Лечит, помогает, консультирует, а главное не навязывает "лишнего и ненужного"!
26 декабря 2022 Отзыв взят с сайта Zoon.ru
5,0
Светлана
Преимущества: Это лучший персонал и лучшая клиника
Комментарий:
Добрый день!!!
Очень боюсь с детства стоматологов,но друзья посоветовали записаться на приём к Клеминой Полине Владиславне, замечательный доктор, я в таком восторге!Она меня проконсультировала и составила полный план моего лечения,и меня все устроило.В этот же день мы сделали чистку, мои зубки стали на несколько тонов светлее.Записана к Полине Владиславне на лечение кариеса.Очень хорошая клиника и лучший коллектив, который я когда либо видела.Советую всем клинику ПоллиДента!!!
21 декабря 2022 Отзыв взят с сайта Zoon.ru
5,0
Кристина
Преимущества: Добрый день! Хочу поделиться своей находкой и своим опытом. Мне было необходимо лечение зуба, и так же я понимала что хотела бы исправить свой прикус, так как из-за того что челюсти не правильно смыкались, болел сустав. Попала на приём к Полине Владиславне, получила полную подробную консультацию и понимание что делать дальше. Мне все пролечили, было максимально комфортно на приемах, далее нужно было удалить сложный зуб мудрости,сказать что я боялась, ничего не сказать, попала к хирургу Алексею Вячеславовичу, сделал анестезию так, что я даже не почувствовала, удаление прошло безболезненно и комфортно, даже не принимала обезболивающие таблетки, очень этому удивлена. И наконец приступили к ортодонтии, поставили брекеты, очень долго решалась, но врачи на столько располагали к себе, что невозможно было не довериться. Мое лечение проходит комфортно, и я очень рада, что обратилась именно в эту клинику! Рекомендую 👍
17 декабря 2022 Отзыв взят с сайта Zoon.ru
5,0
Ирина
Добрый день!
Долгое время не решалась идти к стоматологу,страх с детства.
Но повав в руки врача- волшебника Полины Владиславны, все куда-то улетучилось.
Очень благодарна команде клиники "Полли-Дента"!
Советую Всем обращаться в эту клинику клинику ,к добрым,отзывчивым,прекрасным сотрудникам!
Добра и процветания!!!
17 декабря 2022 Отзыв взят с сайта Zoon.ru
5,0
Мария
Преимущества: Добрый день! Я впервые обратилась в клинику «ПоллиДента», необходимо было сделать чистку полости рта (очень боялась, так как ужасная чувствительность зубов). Попала на приём к гигиенисту Кристине, она предварительно рассказав о том что процедура пройдёт максимально комфортно для меня и бояться нечего. Я была приятно удивлена, когда это оказалось правдой, никогда ещё так комфортно не чувствовала себя в стоматологическом кресле. Ранее ходила на чистки и проходили они по 30-40 минут, я думала что это норма, а тут я была на приеме более 1 часа, настолько тщательно все вычищали и полировали, дали рекомендации! Результатом очень давольна, теперь буду ходить именно туда. Рекомендую!
Недостатки: Недостатков просто нет
Комментарий:
Шикарная команда и самая лучшая клиника.
17 декабря 2022 Отзыв взят с сайта Zoon.ru
5,0
Роберт
Преимущества: Сказать что нашел лучшего стоматолога, это ничего не сказать, спасибо большое Полина Владиславовна, настолько опытный и граммотный специалист, восстановила мне полностью зубной ряд, я в восторге, очень уютно у вас и комфортно! Спасибо!
12 декабря 2022 Отзыв взят с сайта Zoon.ru
5,0
Наталия
Преимущества: Отличная клиника, профессиональный врачи, вежливые и внимательный персонал. Качественное обслуживание. Полина Владиславна врач от Бога. Всем советую
7 декабря 2022 Отзыв взят с сайта Zoon.ru
5,0
Оксана
Очень внимательный и чуткий профессионал
18 ноября 2022 Отзыв взят с сайта Zoon.ru
5,0
Всеволод
Был у Алексея на аутотрансплантации зуба, остался очень доволен!
Алексей во время операции поддерживал со мной контакт, следил за тем, чтобы не было больно, что очень важно! Несмотря на сложность операции, все прошло безболезненно и в комфорте!
После операции, Алексей также поддерживал со мной связь, узнавал как зуб, консультировал как обрабатывать место швов и т.д. Сейчас зуб чувствует себя замечательно!
Спасибо большое!
19 августа 2022 Отзыв взят с сайта Zoon.ru
5,0
Егор Шарий
Преимущества: Чисто, добротно, внушает доверие.
Прекрасные врачи, милые ассистенты, умопомрачительный администратор))
Недостатки: Нет
Комментарий:
Очень профессиональная команда, работают как швейцарские часы, врачи понимают друг друга с полуслова.
Очень хорошая атмосфера в клинике, нет страха лечения. Божественная Полина Владиславна, просто вылечила мои безнадежные два зуба, которые в других клиниках просто приговорили. Вообщем непременно рекомендую!!!
8 августа 2022 Отзыв взят с сайта Zoon.ru
5,0
Евгений
Преимущества: Чисто, аккуратно, профессионально, четко, безболезненно!
Недостатки: Нет их
Комментарий:
Отличная клиника, для все семьи! Установил элайнеры, несколько месяцев назад. Лечение проходит комфортно, спасибо моим докторам Полине Владиславе и Кристине Вардановне!
Рекомендую всем!!!
8 июня 2022 Отзыв взят с сайта Zoon.ru
5,0
Ольга
В этой стоматологи вставляла импланты и протезировала зубы. Врачи на высшем уровне. Особенно большая благодарность Полине Владиславовне!!! Профессионал с большой буквы. Рекомендую всем. Цена и качество на высшем уровне. Спасибо большое
3 апреля 2022 Отзыв взят с сайта Zoon.ru
5,0
Анастасия
Всей семьёй доверяем лечить зубы только Алексею Вячеславовичу! Он прекрасный терапевт и хирург. За последнее время у меня им было произведено удаление всех зубов мудрости. Перед первым удалением я немного волновалась, но Алексей Вячеславович развеял все мои сомнения и мастерски, очень быстро и безболезненно удалил мой первый зуб мудрости. После этого я даже не заметила остальные удаления! Всегда иду к нему на приём с легкостью и теперь не боюсь стоматологов, потому что Алексей Вячеславович действительно самый мудрый, чуткий и внимательный врач!
Всем друзьям, знакомым и родным даю контакт именно Алексея Вячеславовича, потому что на 100000000% уверенна в его профессиональности!
5 ноября 2021 Отзыв взят с сайта Zoon.ru
5,0
Дарья
После неудачного опыта лечения кариеса, у Алексея Вячеславовича в все стоматологические услуги я увидела с другой, положительной, безболезненной и оперативной стороны. Удаление всех зубов мудрости было выполнено именно им:) Даже "лежачие" под костной тканью зубы мудрости были удалены безболезненно и быстро. Также все некачественные пломбы были заменены и стали абсолютно незаметными и комфортными. Спасибо большое за Вашу работу!
20 октября 2021 Отзыв взят с сайта Zoon.ru
5,0
Юлия
Уже несколько лет лечу свои зубки ТОЛЬКО у Алексея Вячеславовича, который является мастером своего дела!
Последние приемы были связаны с удалением восьмерок, и очень жаль, что первое удаление мне проводил не Алексей, а сторонний некомпетентный врач, который разворотил половину челюсти, мотивируя «тяжелым случаем лежачего зуба».
После такого опыта было сложно решиться на повторное удаление (что уж говорить об остальных(?))
Но, Алексей развеял сомнения с первых минут осмотра, тщательно изучив снимки, не пугал «тяжелым случаем», объяснил этапы процедуры, что меня успокоило.
Вместо 2-х часов возни (сравнивая с первым неудачным опытом) Алексей аккуратно, совершенно не больно, четко и профессионально удалил зуб за 20(!) минут, что в первый, что во второй раз.
Заранее предупредил, какие могут быть последствия удаления, дал ясные рекомендации, и в целом восстановление прошло отлично и в обрисованные сроки.
Я с радостью даю контакт знакомым и родным, так как не по наслышке знаю, как сложно найти хорошего стоматолога.
10 октября 2021 Отзыв взят с сайта Zoon.ru
5,0
Ольга Рощина
Уже несколько лет хожу лечить зубы только к Алексею, очень внимательный, чуткий и заботливый врач. Мастерски провел сложное удаление не прорезавшейся восьмёрки, лежащей на нерве, все зажило быстро и без осложнений, теперь не страшно удалять остальные восьмёрки)
2 сентября 2021 Отзыв взят с сайта Zoon.ru
5,0
Ольга
Алексей - замечательный стоматолог. Прозвучит банально, но он действительно мастер своего дела.
Доктор провёл операцию по удалению старого зуба и установку имплантата за одно посещение. Перед операцией я немного волновалась, но оказалось, что зря. Операция прошла достаточно быстро и безболезненно, во время которой доктор объяснял все этапы и подбадривал. После операции в течение 3х месяцев Алексей наблюдал, как заживает десна. Всегда отвечал на вопросы, если меня что-то беспокоило. Сейчас все отлично. Имлантат прижился хорошо.
Также Алексей вылечил и "спас" другие зубы, которые казались безнадежными.
Огромное спасибо доктору!
30 августа 2021 Отзыв взят с сайта Zoon.ru
5,0
Илья К.
Алексей Левченко прекрасный терапевт и хирург. За последние 1,5 года он мне удалил зуб с лечением воспаления под ним; дважды сделал пластику десны для исправления плохого результата после установки импланта в другой клинике; удалил лишнюю восьмерку. И вылечил зуб с удалением нервов, при этом пломбу я могу назвать произведением скульптурного искусства :). С Алексеем мне максимально комфортно, насколько это возможно, так как с детства испытываю сильное напряжение при визитах к стоматологам. Он очень уверенно и спокойно работает и общается. Действует динамично, но без суеты и спешки. Все показывает и понятно объясняет, без проблем отвечает на любые вопросы. Я доволен результатами и полностью доверяю врачу и клинике. Предполагаю, что оборудование, материалы и подходы используются самые современные. Цена иногда кусается, но с деньгами нужно расставаться легко. Спасибо Алексею, желаю ему успехов и постоянного развития!
28 августа 2021 Отзыв взят с сайта Zoon.ru
5,0
Сергей Лутовинов
Прекрасный врач. Ставил имплант, все прошло отлично. Дал грамотные рекомендации после операции, всегда отвечал на мои сообщения если меня что то беспокоило.
Буду обращаться только к нему.
28 августа 2021 Отзыв взят с сайта Zoon.ru
5,0
Александр
Хорошая клиника, профессиональный, вежливый персонал, домашняя обстановка. Всё понравилось. Буду постоянным клиентом.
25 августа 2021 Отзыв взят с сайта Zoon.ru
5,0
Анна
Преимущества: Добрый день!
Хочу оставить отзыв об этом прекрасном месте,где мне оказали квалифицированную помощь.
Попала на консультацию к замечательному специалисту-Полине Владиславне, посоветовала сделать виниры.
Все было выполнено на высшем уровне,безболезненно,качественно и быстро!!!
Всем рекомендую эту клинику!
12 августа 2021 Отзыв взят с сайта Zoon.ru
5,0
Маргарита
Преимущества: Уютное помещение, приветливый персонал, качественный сервис, соотношение цена/качество
Недостатки: Расположение (будет удобно тем, кто живет в районе Полежаевской)
Комментарий:
Ставила в этой клинике виниры - я очень давно мечтала об этом, но боялась, что будет большой вред зубам. После консультации с врачом решили , что в моей ситуации - это наилучшее решение, в итоге у меня ровная идеальная улыбка, а зубы выглядят супер натурально!! Решающим фактором стал, конечно, врач - Полина Владиславовна все очень подробно рассказала и убедила меня, что бояться нечего!! Очень благодарна!! Живу не в Москве, но готова прилетать постоянно ради приёмов в этой клинике!!
10 августа 2021 Отзыв взят с сайта Zoon.ru
5,0
Наталья
Обратилась в клинику с запущенным пульпитом. Очень благодарна Клеминой Полине Владиславовне за лечение зуба: несмотря на то, что процедура не из самых приятных, все прошло хорошо и без боли благодаря опыту и золотым рукам врача. Ситуация осложнялась тем, что я исправляю прикус и нужно было сделать зуб так, чтобы после пломбирования стенок на него села капа-элайнер. Полина Владиславовна, как ювелир, сделала все с точностью до миллиметра, несколько раз снимала элайнер, подтачивала зуб, опять примеряла, пока не убедилась, что все идеально.
Также очень нравится атмосфера в клинике: к пациенту относятся максимально доброжелательно, вежливо. Сейчас очень сложно найти толкового стоматолога, так что я рада, что есть «ПоллиДента» с хорошими врачами и приемлемыми ценами.
2 августа 2021 Отзыв взят с сайта Zoon.ru
5,0
Анна
Большое спасибо Полине Владиславне за лечение, профессионализм и особый и правильный подход к детям. У Сына были проблемы с зубами - все сделали быстро и качественно.
Теперь в клинику ходим всей семьёй.
У Полины Владисланы, очень лёгкая рука, и любые манипуляции с зубами проходят быстро и практически безболезненно.
Хочется выразить благодарность всему коллективу клиники "ПоллиДента" за внимание и профессионализм.
22 июля 2021 Отзыв взят с сайта Zoon.ru
5,0
Эльнара
Клиника ПоллиДента -это наша семейная клиника.Здесь тепло и спокойно,как дома.Началось все с меня.Я всегда следила за своими зубами и приучала детей не боятся зубных врачей.Про мужа вообще молчу,тот ещё трус,но к Полине Владиславович,как к доброй зубной фее ходит.Старший сын такой же,как папа ,но в Полли Дента с улыбкой,а от туда с идеаольной и белоснежной улыбкой.
Спасибо за тёплый приём и спокойствие.Всегда Ваши.
2 июля 2021 Отзыв взят с сайта Zoon.ru
5,0
Надежда
Просто самый лучший стоматолог!С подросткового возраста безумно боялась стоматологов,особенно после наших поликлиник.Искали с мамой по всей Москве хорошего врача,потому что маме нужно было восстанавливать весь рот.Девочка посоветовала Полину Владиславовну,и когда попала на первичный осмотр к ней сразу же поняла что это именно тот врач,с которым будет комфортно и не страшно.В конечном итоге ходим всей семьей к Полине Владиславовне.Потрясающий человек и очень грамотный специалист!
26 июня 2021 Отзыв взят с сайта Zoon.ru
5,0
Василий
Алексей, прекрасный специалист, которому хочется сказать большое спасибо! Человек действительно увлеченный своей работой и на сто процентов погруженный в профессию.
Недавно был у Алексея на имплантации. Все прошло замечательно. Быстро, ловко и умело. А самое главное, максимально комфортно и спокойно.
Алексей обладает чувством ответственности и совокупность его профессиональных знаний с большим практическим опытом, дарит миру удивительного врача, который максимально эффективно решает вашу проблему и в тоже время окружает вас человеческим вниманием и заботой. Прибавьте ко всему этому отличное чувство юмора и можете смело записываться к Алексею!
22 июня 2021 Отзыв взят с сайта Zoon.ru
5,0
Bum Pie
Очень качественно!
Этот парень знает, что он делает! Спасибо БОЛЬШОЕ за всю проделанную работу!!!
Не бойтесь стоматологов!!!
21 июня 2021 Отзыв взят с сайта Zoon.ru
5,0
Екатерина
Ставила у Алексей имплант , все отлично зажило и очень быстро, внимательный и ответственный врач, который покажет и расскажет все как есть! Очень нравиться лечить у него зубки )
21 июня 2021 Отзыв взят с сайта Zoon.ru
5,0
Анастасия
Удаляли сразу 2 зуба мудрости, нижний был сложный. Прекрасно выполнена работа, очень аккуратно, безболезненно, период реабилитации был адекватен сложности операции. Доктор очень внимателен к своим пациентам, все процедуры проводит с максимально возможным комфортом для пациента.
21 июня 2021 Отзыв взят с сайта Zoon.ru
0,0
Елена
Сегодня я счастливая обладательница здоровых, красивых зубов и белоснежной улыбки! Это результат ювелирной, высокопрофессиональной работы целой команды врачей - волшебников из клиники ПолиДента! Два года назад мои зубы были в плачевном состоянии, отсутствовали коренные зубы, пережевывала пищу передними зубами, как результат "таяла" костная ткань.. Это в 50. - .катастрофа 👀. Обращалась в разные клиники . Рекомендовали съёмные протезы, а один "гуру" предложил одномоментно, под общим наркозом удалить разом все оставшиеся 24 зуба и на их место поставить импланты. Я была в шоке!
По рекомендации друзей обратиласьь к Полине Владиславне Клёминой. При первом приёме мне расписала и рассчитала план лечения по этапам,. Лечить зубы у Полины Владиславны- просто релакс! Высокий профессионализм, искреннее стремление помочь, найти решение даже в самых сложных, как у меня, случаях , внимательная , добрая, заботливая, вела меня все два года, в любое время дня и ночи была на связи, поддерживала во время и после операционный период, давала рекомендации, приглашала для операций самых квалифицированных хирургов! Врач от Бога! Моя Благодарность Безгранична! Теперь Клёмина П. В. наш семейный доктор!
Огромная Благодарность хирургам клиники ПолиДента, сложные операции проводили чётко, профессионально, юмором поддерживая, даже заживало все быстро и легко!
Протезист Мария Игоревна Чазова - отдельная Песня! Профессионал своего дела, внимательная, мягкая с великолепным чувством юмора, располагает к себе мгновенно, обточка, та ещё процедура, а для меня-- сплошная медитация! Мастерица-искусница, дарящая пациентам красивые улыбки! Мария Игоревна - огромное Спасибо! Результат превзошёл все мои ожидания!
Теперь на восхищенные вопросы знакомых: "Где?! ", я отвечаю :"Клиника ПолиДента'!
18 июня 2021 Отзыв взят с сайта Zoon.ru
5,0
Николай
Очень понравилось!Профессионализм,скорость работы.
Была100%-я уверенность в докторе после консультации и лечения.
P.s. Очень красиво и чисто!!!
16 июня 2021 Отзыв взят с сайта Zoon.ru
5,0
Кирилл
Удалял у Алексея 4ре зуба, восьмерки т. н. зубы мудрости. Во всех случаях я даже не понял когда зуб был удален, настолько быстро и безболезненно проходили удаления. Благодаря Алексею, я перестал бояться посещать стоматологию!
11 июня 2021 Отзыв взят с сайта Zoon.ru
5,0
Максим
Только положительные эмоции, после удаления достаточно сложной восьмерки ( как бы странно это не звучало )
Самый безболезненный укол анестезии который мне когда либо делали.
Сама процедура удаления прошла быстро, комфортно и что самое главное, я даже понять не успел, в какой момент мне удалили зуб.
Алексей Вячеславович достаточно доходчиво объяснил, что нужно делать после удаления и чего делать нельзя.
Благодаря чему все зажило без осложнений и боли.
10 июня 2021 Отзыв взят с сайта Zoon.ru
5,0
Марк Клаус
Самый лучший стоматолог в Москве! Сам живу в Германии по работе приезжаю в Москву, но теперь зубы лечить тоже приезжаю только в Москву и именно к Полине Владиславне! Больших вам успехов, в вашем очень благородном деле!
22 мая 2021 Отзыв взят с сайта Zoon.ru
5,0
Екатерина Шевяхова
Этот доктор лечит всю нашу семью!
Полина Владиславна, выражаю вам огромную благодарность! Нет более открытого и компетентного во всех отношениях стоматолога!
24/7 и в дождь и в снег поможет, проконсультирует по любому вопросу и вылечит даже самые сложные случаи!
Респект!
2 апреля 2021 Отзыв взят с сайта Zoon.ru
5,0
Ксения Сульдина
Ходила на снятие брекетов. Сняли быстро и без боли. Так же сделал чистку, все было сделано качественно. Радуюсь красивым зубам.
27 марта 2021 Отзыв взят с сайта Zoon.ru
5,0
Ольга Волкова
Полина Владислава - доктор от бога, отличный диагност, стоматолог-терапевт. Спасла мне три зуба, в одном была вылечена гранулема, хотя в другой клинике предложили удаление. Зуб функционирует уже 2 года, не беспокоя.
27 февраля 2021 Отзыв взят с сайта Zoon.ru
Удалить отзыв
Популярные услуги
Удаление зубов
от 3490 руб.
Виниры
от 34990 руб.
Базовая стоматология
от 2490 руб.
Стоматологическая клиника
2490 руб.
Имплантация зубов
от 5000 руб.
Отбеливание зубов
от 25000 руб.
Металлокерамика на зубы
уточняйте по телефону
Ортодонтия
от 2000 руб.
Ортопедическая стоматология
4990 руб.
Установка брекетов
от 2490 руб.
Остались вопросы?
Вы можете воспользоваться любым из указанных способов связи
Контактный номер
+7 (904) 568-06-...
Показать